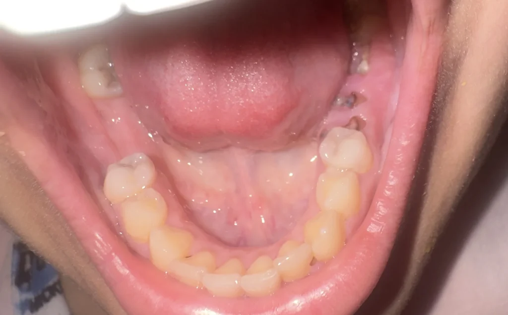
فراغات اضراس لا تزال الجذور موجودة

فراغات اضراس لا تزال الجذور موجودة
ضرسين في الفك العلوى كما في الصورة وضرس اخر في الجهة اليسرى
و ضرسين في الفك السفلي كما في الصورة

5 Comments

  1. baroukihaitham@gmail.com

    سلام،
    بالنظر للوضع، وجود الجذور المتبقية في الفراغات قد يسبب مشاكل مستقبلية مثل الالتهاب أو صعوبة تعويض الأسنان. يُنصح بإزالة الجذور المتبقية ومن ثم تقييم إمكانية وضع زرعات أو جسر لسد الفراغات.
    للحجز أو الاستشارة، يمكن الاتصال بالعيادة على الرقم:
    05 20 05 94 94

  2. amina_zouini@hotmail.com

    السلام عليكم، يجب عليك إزالة الجذور و تعويض الأسنان بأسنان صناعية تابثة أو متحركة.

  3. c.dentaireopale@gmail.com

    Radio après extraction

  4. yassinekhalil11@gmail.com

    الحل هو خلع ديال الجدور المريضة و تعويضها بزراعات كأحسن حل

  5. doudiden@hotmail.com

    خاص قلع الجدور و التعويض
    0522856236
    0622880084

Laisser un commentaire

Votre adresse e-mail ne sera pas publiée. Les champs obligatoires sont indiqués avec *